Ultrasonografia (USG) znajduje szerokie zastosowanie w kosmetologii estetycznej jako precyzyjna metoda obrazowania skóry i jej struktur. Umożliwia ocenę grubości tkanki tłuszczowej, stopnia elastyczności skóry oraz jakości tkanki podskórnej, co pozwala na dokładne planowanie i personalizację terapii modelujących sylwetkę. W artykule autorka omówi zastosowanie ultrasonografii w diagnostyce kosmetologicznej, podkreślając jej rolę w monitorowaniu efektów zabiegów oraz przedstawi korzyści płynące z wykorzystania USG jako narzędzia wspierającego zarówno ocenę diagnostyczną, jak i monitoring postępów terapeutycznych.
Ultrasonografia (USG) jest jedną z najpopularniejszych metod diagnostycznych w medycynie, a jej zastosowanie w kosmetologii estetycznej zyskuje na znaczeniu. Procedura ta opiera się na wykorzystaniu fal ultradźwiękowych, które emitują specjalne urządzenia. Fale o wysokiej częstotliwości przechodzą przez tkanki, a ich odbicie od różnych struktur wewnętrznych ciała umożliwia uzyskanie obrazu w czasie rzeczywistym.
Częstotliwość wspomnianych fal stosowanych w USG może wynosić od 1 do 20 MHz, w zależności od celu diagnostycznego i głębokości, na którą ma być skierowana ich wiązka. W kosmetologii estetycznej najczęściej stosowane są częstotliwości w przedziale 5‒15 MHz, które pozwalają na dokładną ocenę struktury skóry oraz warstw podskórnych, takich jak tkanka tłuszczowa i mięśnie.(1, 2) Dzięki tym właściwościom USG stanowi idealne narzędzie do oceny skóry i jej struktury w trakcie monitorowania efektów zabiegów estetycznych ciała, takich jak modelowanie sylwetki czy ujędrnianie skóry.(3)
Obrazowanie struktur skóry
USG umożliwia dokładną ocenę grubości i struktur skóry, takich jak naskórek, skóra właściwa i tkanka podskórna. Naskórek ukazuje wysoką echogeniczność, podczas gdy skóra właściwa i tkanka podskórna przejawiają echogeniczność zróżnicowaną, co umożliwia ich dokładne rozróżnienie.(4)
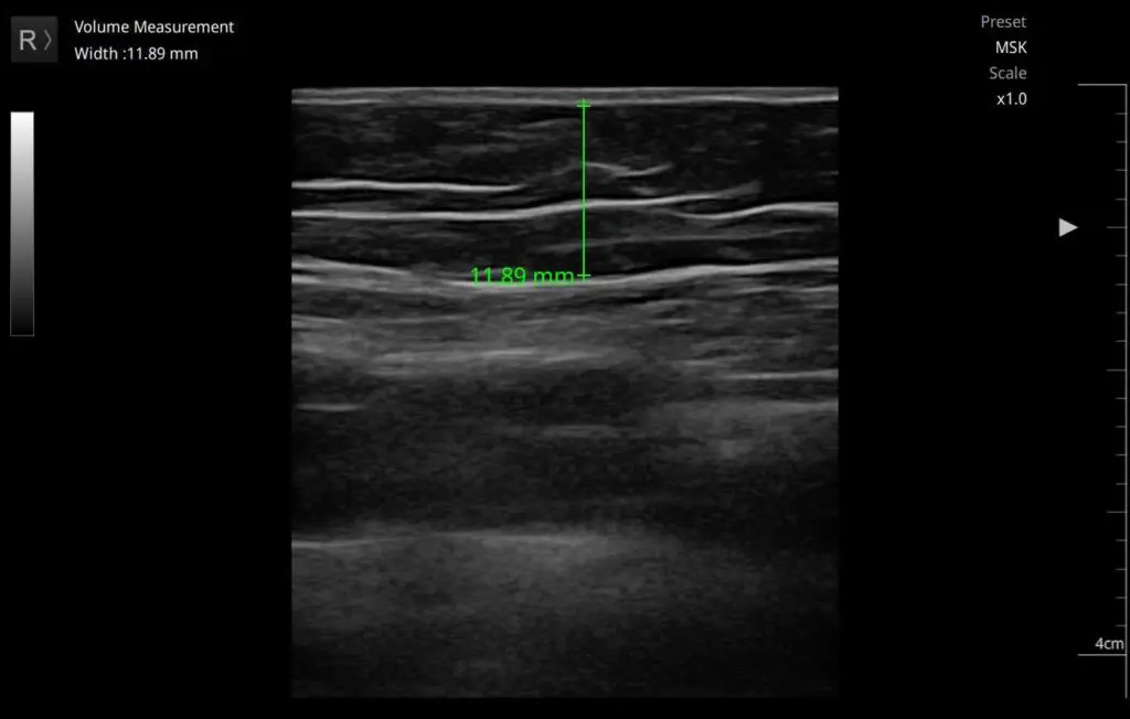
Pomiar grubości tkanki tłuszczowej
Ultrasonografia jest również skuteczną metodą w ocenie grubości tkanki tłuszczowej, co ma znaczenie w diagnostyce otyłości oraz w monitorowaniu efektów terapii redukcji tłuszczu.
Technika ta pozwala na precyzyjny pomiar wspomnianej tkanki w różnych częściach ciała, a także umożliwia ocenę jej rozmieszczenia. Badania wykazały, że USG jest szczególnie pomocne w ocenie cellulitu, gdyż pozwala na identyfikację nieprawidłowości w tkance tłuszczowej.(6)

Diagnostyka zmian strukturalnych
Ultrasonografia odgrywa kluczową rolę w diagnostyce zmian strukturalnych w skórze (cellulitu, blizn czy zmniejszonej elastyczności). Dzięki dokładnemu obrazowaniu warstw skóry USG pozwala na monitorowanie efektów terapii, takich jak zabiegi liposukcji, radiofrekwencji czy karboksyterapii, które mają na celu poprawę struktury skóry i redukcję cellulitu.(7)

Bezpieczeństwo
Jedną z głównych zalet ultrasonografii jest jej bezpieczeństwo. Nie wykorzystuje ona promieniowania jonizującego, co zmniejsza ryzyko wystąpienia niepożądanych skutków ubocznych, np. uszkodzenia tkanek czy długoterminowych problemów zdrowotnych.
Fale ultradźwiękowe są całkowicie bezpieczne dla organizmu, a ich stosowanie nie wiąże się z ryzykiem dla zdrowia klienta. Dzięki tej właściwości USG jest powszechnie wykorzystywane w kosmetologii do monitorowania i oceny efektów zabiegów estetycznych.(1)
Precyzja
Ultrasonografia pozwala na uzyskanie obrazów w wysokiej rozdzielczości, co umożliwia dokładną ocenę struktury skóry i tkanek podskórnych. Dzięki precyzji zobrazowania lekarze i kosmetolodzy mogą szczegółowo monitorować zmiany w skórze i tkance tłuszczowej w trakcie i po zabiegach estetycznych, takich jak lipoliza, modelowanie sylwetki czy ujędrnianie skóry.
Częstotliwości ultradźwiękowe stosowane w kosmetologii (zwykle w zakresie od 5 do 15 MHz) pozwalają na obrazowanie różnych warstw skóry (naskórka, skóry właściwej oraz tkanki tłuszczowej). Taka precyzyjna diagnostyka umożliwia lepsze dopasowanie terapii do indywidualnych potrzeb klienta, co przekłada się na efektywność i bezpieczeństwo zabiegów.(2)


Brak efektów ubocznych
Ultrasonografia jest metodą nieinwazyjną i bezbolesną, co sprawia, że nie wiąże się z ryzykiem wystąpienia efektów ubocznych. USG nie powoduje uszkodzeń skóry ani nie wywołuje podrażnień. Czyni to z niej idealne narzędzie do oceny i monitorowania skutków zabiegów kosmetologicznych w sposób bezpieczny i komfortowy dla klienta.
Monitoring efektów zabiegów kosmetologicznych z wykorzystaniem USG
Monitoring efektów zabiegów kosmetologicznych jest krytycznym elementem oceny skuteczności terapii oraz dostosowania procedur do indywidualnych potrzeb pacjenta. Ultrasonografia stanowi jedno z najskuteczniejszych narzędzi do monitorowania efektów zabiegów, umożliwiając dokładną ocenę zmian w strukturze skóry i tkanek podskórnych.
Dzięki wysokiej rozdzielczości obrazowania USG pozwala na drobiazgowe monitorowanie postępów terapii oraz identyfikację ewentualnych nieprawidłowości, które mogą wymagać zmiany planu terapii kosmetologicznych.(2)
Podsumowanie i wnioski
Ultrasonografia w kosmetologii estetycznej stanowi istotne narzędzie diagnostyczne, umożliwiające dokładną ocenę struktury skóry i tkanek podskórnych. Dzięki wysokiej precyzji obrazowania USG pozwala na dokładne monitorowanie postępów terapii modelujących sylwetkę, takich jak radiofrekwencja, karboksyterapia czy fale uderzeniowe.
Zastosowanie ultrasonografii w kosmetologii estetycznej pozwala na indywidualizację terapii, co zwiększa skuteczność zabiegów i ich bezpieczeństwo. Ultrasonografia to metoda nieinwazyjna, bezpieczna i precyzyjna, co czyni ją doskonałym narzędziem diagnostycznym w praktyce kosmetologicznej.
Bibliografia
- Juhász M., Korta D., Atanaskova Mesinkovska N. A Review of the Use of Ultrasound for Skin Tightening, Body Contouring, and Cellulite Reduction in Dermatology. Dermatol Surg. 2018;44(5):629-636. DOI: 10.1097/DSS.0000000000001419.
- Wortsman X. Role of high-resolution ultrasound in dermatology. Indian J Dermatol Venereol Leprol. 2023;89(1):20-30. DOI: 10.4103/ijdvl.IJDVL_1031_22.
- Sandoval P.J., Lee K.C. Advances in ultrasonographic imaging for soft tissue assessment: Applications in aesthetic medicine. J Ultrasound Med. 2021;40(6):1213-1223. DOI: 10.1002/jum.15473.
- Yamaguchi M., Takeuchi T., Kato T. et al. Evaluation of the epidermis and dermis using high-frequency ultrasound. Dermatology. 2021;237(3):355-361. doi:10.1159/000514467.
- Suga Y., Kamata M., Iizuka H. et al. Ultrasound skin imaging: A new approach for dermatology. Dermatol Ther. 2020;33(6):e13872. doi:10.1111/dth.13872.
- Bo C., Lavezzi S., Gualandi S. et al. Use of ultrasound in the assessment of body fat distribution and cellulite. J Cosmet Dermatol. 2022;21(2):635-641. doi:10.1111/jocd.14256.
- Rizvi M., Kumar A., Shah A. et al. Ultrasound-guided evaluation of subcutaneous fat distribution and its clinical significance. J Clin Ultrasound. 2020;48(1):48-56. doi:10.1002/jcu.22783.






